
Invisalign® Treatment
Straightening crooked teeth doesn’t need to be as awkward or uncomfortable as it used to be. Belterra Dental offers a modern approach to achieving perfectly aligned teeth – without anyone even noticing! Straighten things out with the Invisalign® Platinum Providers of Austin and Dripping Springs, Texas. We provide Invisalign treatment for women, men, teens and children of all ages. Schedule a free consultation today to see how our board-certified dentists can help transform your smile with Invisalign!
Belterra Dental is a Platinum Invisalign® Provider
Benefits of Invisalign®
Clear Aligners Are Virtually Invisible
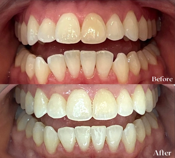
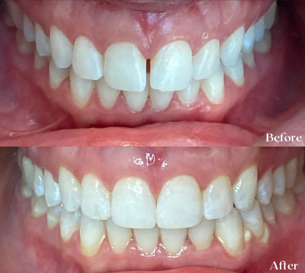
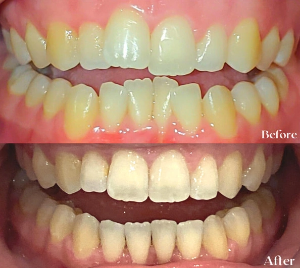
The best benefit of Invisalign is its ability to effectively straighten crooked teeth and fix misaligned bites using thin, transparent aligners. Patients have told us that they waited so long to seek treatment because they were embarrassed of how they may look with braces. Invisalign’s clear aligners found a solution to that problem. Now patients have a virtually undetectable solution to straighten teeth. With Invisalign, we help our patients in Austin smile confidently throughout their entire treatment.
Greater Comfort Over Traditional Braces
If you’ve never had braces before, you won’t understand how truly uncomfortable straightening your teeth used to feel. The metal wires and brackets have sharp edges that are likely to cause irritation, discomfort or pain to the gums and cheeks. Invisalign in Austin uses smooth, BPA-free plastic trays that won’t irritate your skin. The trays are also custom-fitted perfectly for your mouth to offer the ultimate comfort over the alternative.
Better Dental Hygiene & Oral Health
In addition to Invisalign being subtle and barely noticeable, the custom aligners are also removable! This in itself offers a variety of different benefits, with the most important being an improvement to dental health. A clean mouth = a healthy mouth. Since traditional braces can’t be removed, it can make properly cleaning your teeth very difficult. This can lead to plaque buildup, tooth decay and discoloration. Invisalign promotes better dental health since the aligners can be removed before you brush and floss. We want to note here that it is also important to regularly clean your aligners as well!
Shorter, More Precise Treatment
Traditional braces required frequent visits to the orthodontist for manual in-office adjustments, with most patients having braces on for two years. Invisalign’s cutting-edge technology and advanced digital imaging provides a precise treatment plan to follow in a shorter amount of time. New aligners are sent to your home every two weeks, so fewer visits to our Austin dental office is required. While each patient’s treatment time will differ depending on the complexity of their case, Invisalign can straighten most teeth in about a year or less.
No Food or Dietary Restrictions
There are certain foods that should be avoided with traditional braces, as they can break or damage the brackets and require an emergency repair. Certain foods can also get caught within the tiny metal brackets and cause plaque buildup over time. This, of course, can lead to tooth decay and even gum disease. With Invisalign in Austin, patients have no food or dietary restrictions. Simply remove your aligners before each meal and continue enjoying your favorite snacks throughout the entire treatment!
Straighten & Whiten at The Same Time!
Get a dazzling smile in more ways than one. Belterra Dental offers the new Invisalign Professional Whitening System so that you can simultaneously straighten and brighten your smile. Your Invisalign aligners can be used just like custom bleaching trays. Let our dentists know that you’re interested in the whitening system, and we’ll provide professional-grade whitening gel that you can use as a take-home treatment with your aligners.
Our Invisalign® Works




How Invisalign® Works
Free Invisalign® Consultation
Schedule a complimentary consultation with our Platinum Invisalign® dentists in Austin, TX. We’ll use powerful digital scanning technology to strategically map out your beautiful new smile and create a custom Invisalign treatment plan that is right for you. You’ll be able to physically see your results before you even get started. Our Austin Invisalign dentists will also provide expert guidance on what to expect throughout treatment and answer any questions or concerns you may have. Give us a call today to get started!
Custom Invisalign® Treatment
Once you approve of your custom Invisalign treatment plan, we’ll create your unique aligners. Each aligner is custom tailored to end at your gum line and will fit perfectly over your teeth like snug-fitting bleaching trays or mouth guards. You’ll wear a set of upper and lower aligners for one to two weeks before moving on to your next set. We’ll provide a few sets of aligners at one time. You’ll need to come into our dental office in Austin every 2 months so we can track your progress and make any necessary adjustments to your treatment. We understand that life can be busy and bi-monthly appointments may not work for everyone. For patients with very busy schedules, we can offer virtual appointments to continue monitoring your Invisalign treatment closely. The ability to do virtual appointments will be dependent on the patient’s treatment and can vary case by case.
Maintain Your Beautiful Smile
Keep your smile forever aligned with custom-made Vivera retainers! When your treatment is completed and your smile has been perfectly aligned, our Austin Invisalign dentists will discuss how to maintain the corrected positions of your teeth using your new retainers. We’ll create custom-fit Vivera retainers so that your teeth don’t shift after your treatment is over. Additionally, your new Vivera retainers can also be used as whitening trays for at-home teeth whitening treatments. With proper care after Invisalign, you’ll be able to maintain your beautiful new smile for a lifetime.

