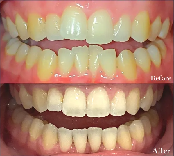
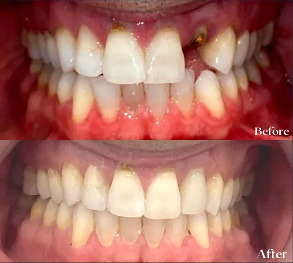
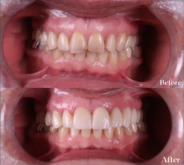
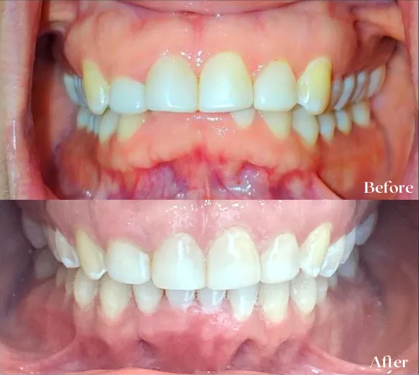
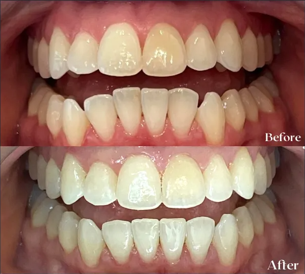
Before & After: See the Difference

We have created hundreds of smile transformations and offer free consults for those interested.
Image
Image
Image
Image
Image
Image
Image
Image
Image
Image
Image
Image

New Patients & Emergency Appointments Welcome